An emergency room doctor has shared a startling reminder that gunshots are the number one cause of death for children and teenagers in the US.
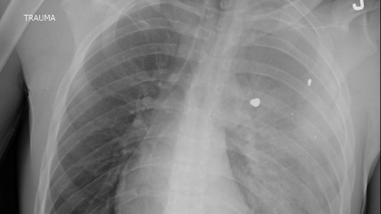
Dr Sam Ghali shared the chest X-ray of “a young boy suffering from a condition that is now the #1 cause of death in children and adolescents in the US” on X, formerly Twitter, asking his followers: “What’s the diagnosis?”
The picture shows the child’s chest with what appears to be foreign objects inside the lungs.
“Thoughts? Prayers? I’ll give you a hint it’s not the FLU, RSV, or COVID,” Dr Ghali added.
TAn analysis of US Centers for Disease Control (CDC) data published last week showed gunshots remained the leading cause of death among children in the US in 2021.
The study, published in the American Academy of Pediatrics journal, found 4,752 children and adolescents (from newborns to 19-year-olds) died from being shot in 2021. The majority of replies to the picture correctly guessed it showed a gunshot wound.
Of those, 64% were homicides, almost 30% were suicides and 3.5% resulted from “unintentional injury”.
It was a 41.5% increase in the pediatric firearm death rate from 2018 to 2021.





